Uraz zębów – leczenie pourazowych uszkodzeń zębów w Chorzowie
W życiu codziennym jest wiele sytuacji, w których nasze zęby narażone są na różne urazy. Drobne urazy takie jak wyszczerbienie, odpryski szkliwa
i tym podobne wpływają na naszą samoocenę i samopoczucie.
Poważniejsze urazy jak zwichnięcie zęba, złamanie zęba lub wybicie zęba, stanowią bolesny problem pacjenta i wymagają szybkiego leczenia (zaopatrzenia) przez doświadczonego lekarza dentystę.
W Zespole Specjalistycznych Gabinetów Stomatologicznych leczymy urazy zębów poprzez wdrożenie takich działań, jak:
– odbudowa złamanego zęba;
– odbudowa złamanego zęba z leczeniem kanałowym;
– reimplantacja wybitego zęba;
– szynowanie zwichniętych zębów.

Urazy zębów (leczenie pourazowych uszkodzeń zębów) w Chorzowie.
Złamany ząb, wybity ząb.
Specjalizujemy się w traumatologii stomatologicznej, tj. interdyscyplinarnym leczeniu przypadków pourazowych uszkodzeń zębów mlecznych i stałych w okresie rozwoju pacjenta. Współpraca doświadczonego stomatologa dziecięcego, ortodonty i chirurga stomatologa gwarantuje właściwe wieloetapowe leczenie w przypadkach pourazowych do zakończenia rozwoju pacjenta, gdy można zastosować odbudowę protetyczną lub implantoprotetyczną.
Urazy zębów leczymy zgodnie z wytycznymi International Association for Dental Traumatology – IADT (Międzynarodowego Towarzystwa Traumatologii Zębów).
Traumatologia zębów Chorzów – kontakt i rezerwacja wizyty
Rezerwacja terminów do traumatologa stomatologicznego prowadzona jest:
– telefonicznie: 32 241 91 11
– poprzez e-mail: gabinety@dentystachorzow.pl
– na miejscu: ul. Szczecińska 59, 41-500 Chorzów.
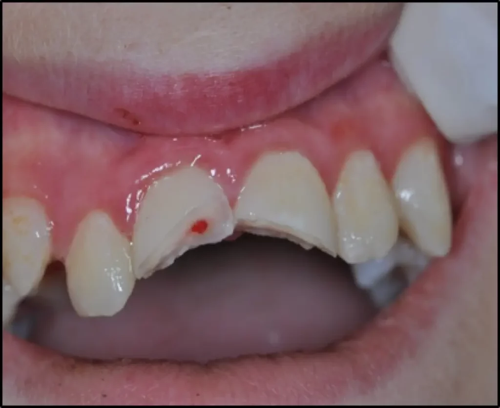
Urazy zębów

Zdjęcia poglądowe urazu zębów z odsłonięciem miazgi. Takie przypadki wymagają natychmiastowej pomocy
i zaopatrzenia urazu.
